line-icon
LINE相談 LINE CONSULTANT

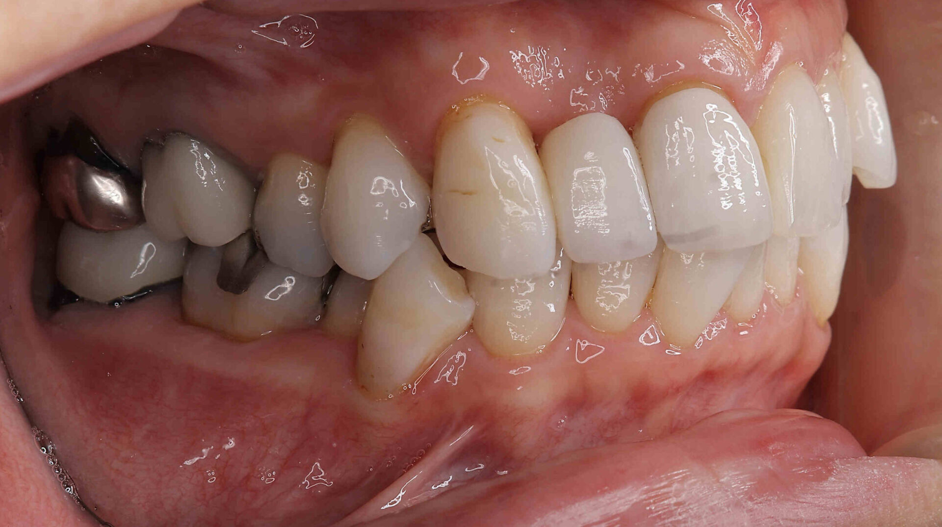
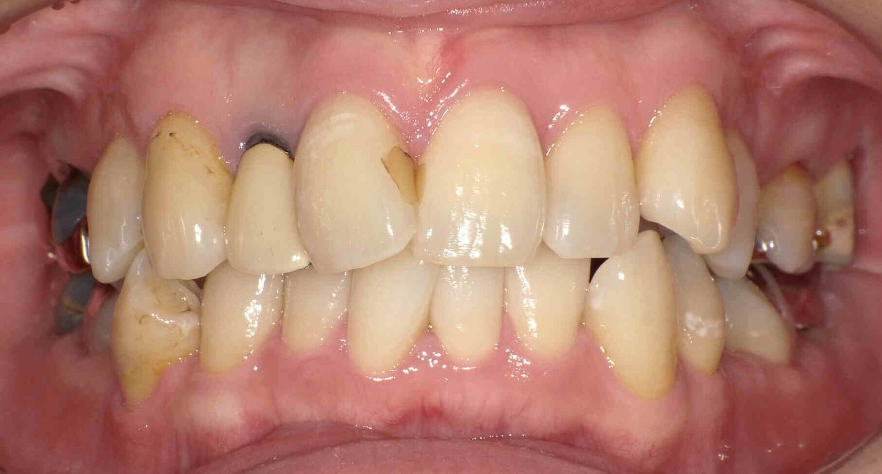
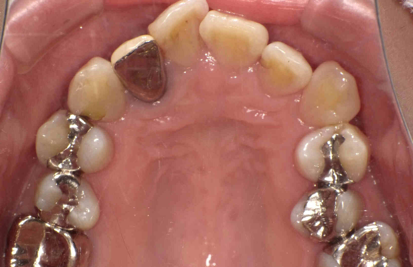
右上2番の前歯が歯根破折した症例

右上2番の前歯が歯根破折した症例
  • 右矢印
  • 右矢印

治療方針

以前治療した前歯が歯根破折してしまい、歯周ポケットが深くなり歯が動揺して、抜歯が必要でした。

通常のインプラント治療の場合、

①残せない歯の抜歯

3ヶ月置く

インプラントの埋め込み

④3ヶ月置く

最終的な被せ物の歯が入る

そうすると6ヶ月の間、歯がない期間が空いてしまいます。奥歯ならそれでも問題がない場合もありますが、前歯の場合は見た目的に困ります。

当院は【残せない歯を抜歯+同時にインプラントの埋め込み+同時に自然な仮歯の装着】

その後は、3か月後に最終的な被せ物の歯を入れることができます。

永続的で機能性に優れた、より自然な美しさを追求した前歯の審美インプラント治療です。

Date

患者様の性別
女性
年齢
40代
治療期間
治療内容により異なります。
治療費用
385,000円~440,000円

インプラント治療のドクターコメント

オペ当日の処置時間は、説明など全て合わせても2時間以内に完了します。 他院様で、治療期間が半年以上かかってしまう・インプラントと骨がくっつくまで仮の歯が入らない、 又は入れ歯と言われた、などお困りの方は当院までご相談ください。

症例の最新記事

CONTACT

お問い合わせ

お問い合わせ等は、以下からお気軽にご連絡ください。